Connection between Loose Teeth & Gum Disease
March 30, 2026 Time - 5:24 pm Back To Main

Permanent teeth are made to last a lifetime. They are sustained by healthy gum tissue and bone and attached into the jawbone by periodontal ligaments, which are strong connective fibers that serve as stress absorbers. Teeth may start to loosen when one or more components of this support structure are damaged.

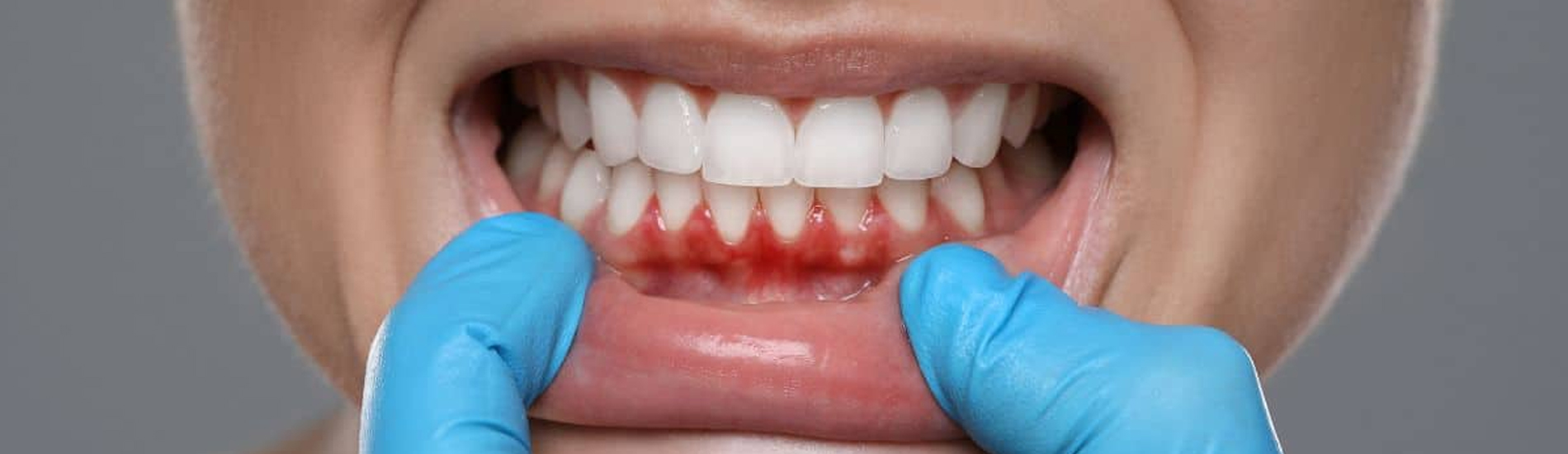
Periodontal (gum) disease is the main cause of irreversible tooth loss. Plaque accumulation close to the gum line is the first sign of this inflammatory illness. Dental plaque becomes tartar and harbors germs that irritate the gums if it is not routinely eliminated by brushing and flossing.

Redness, swelling, and bleeding during brushing are early signs of gingivitis or gum disease. The state may now be promptly reversed. However, it will develop into periodontitis if treatment is not received. The bone and connective tissue that support teeth are destroyed by infection when it reaches advanced stages. Teeth may feel loose or move as the amount of bone support decreases. To stabilize gum disease-related loose teeth and stop further bone loss, periodontal therapy must be administered as soon as possible.